



























El VX 210 es un dispositivo de análisis del segmento anterior que combina la tomografía de Scheimpflug con la topografía de discos de Plácido.
Con el VX 210, los especialistas pueden medir los ángulos iridocorneales, la paquimetría y la profundidad de la cámara anterior. Estos datos son esenciales en el cribado del glaucoma.
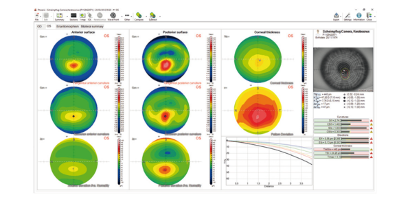
Además de la información sobre la curvatura corneal, la elevación y la potencia refractiva, el software de cribado del queratocono proporciona información importante sobre las superficies corneales anterior y posterior. Este análisis preoperatorio es esencial en cirugía refractiva para evitar complicaciones postoperatorias relacionadas con la ectasia corneal.
Basándose en la información paquimétrica y de elevación, el VX210 permite a los profesionales visualizar y analizar la posición de los anillos intraestromales, que son útiles para corregir ciertas formas de queratocono y errores refractivos.
El análisis aberrométrico proporciona una visualización completa de las aberraciones corneales. Es posible separar las aberraciones anteriores y posteriores en función de los distintos diámetros pupilares. Los mapas OPD/WTF y las simulaciones visuales (PSF, MTF, optotipo) ayudan a comprender y explicar el estado visual de los pacientes.
El VX 210 integra un calculador para implantes esféricos y tóricos, basado en la técnica Ray-Tracing, teniendo en cuenta el estado general de la córnea (postcirugía refractiva o no).

515 x 315 x 255

| Fonctionnalités | VX 205 | VX 210 | |||
| Topographie cornéenne par Placido | 10 mm | 12 mm | |||
| • Analyse de la surface cornéenne antérieure | ✔️ | ✔️ | |||
| • Dépistage du kératocône surface cornéenne antérieure) | ✔️ | ✔️ | |||
| Aberrométrie cornéenne | ✔️ | ✔️ | |||
| Pupillométrie | ✔️ | ✔️ | |||
| Contactologie | ✔️ | ✔️ | |||
| Analyse film lacrymal/sécheresse oculaire | ✔️ | ✔️ | |||
| Questionnaire OSDI | ✔️ | ✔️ | |||
| • Évaluation de la surface oculaire | ✔️ | ✔️ | |||
| • Meibographie | ✔️ | ✔️ | |||
| • Hauteur du ménisque lacrymal | ✔️ | ✔️ | |||
| • NIBUT | ✔️ | ✔️ | |||
| Caméra Scheimpflug rotative | |||||
| • Analyse complète du segment antérieur | ✔️ | ||||
| • Carte pachymétrique | ✔️ | ||||
| • Dépistage du kératocône (surface ✓ cornéenne postérieure) | ✔️ | ||||
| • Dépistage du glaucome | ✔️ | ||||
| Calculateur IOL (option) | ✔️ | ||||
Somos grandes fãs de Briot
Dr. Gray Sass, OD Wildwood Eyecare

Dr. Gray Sass, OD Wildwood Eyecare

A adpatação à Briot® Attitude 2 tem sido mutio simples. Poupa-me tempo, pelo que não preciso de passar horas extra na oficina.
Dr. Douglas King Owner, Family Eye Care Optometry Center

Na minha oficina temos uma biseladora Briot há mais de 10 anos
Dr. Albert Morier Consumer Optical
Sou um oculista da antiga escola
Trish Hammons, A.B.O.C. Custom Optical
Briot é a minha escolha para equipamento de laboratório,
Jonathan Kuckler, Vice President and Managing Optician North Colorado Optical of Greeley Inc.
Description / Lorem ipsum dolor sit amet consectetur. Arcu dolor suspendisse commodo a faucibus amet. Consequat lacinia diam eget imperdiet placerat. Massa sed neque pharetra quis interdum egestas mi.


Disponível 24/7
Multilíngue
Conecta você aos nossos especialistas quando necessário